콘텐츠로 건너뛰기
a7
a7
Main Menu
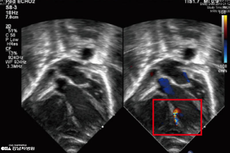
선천성횡격막탈장(D+236)_서울아산병원 소아외과 외래, 소아심장초음파검사
Post navigation
←
이전 글
다음 글
→
error:
Content is protected !!