갑상선암 측경부림프절 전이 검사를 빼먹는 경우가 많아요!

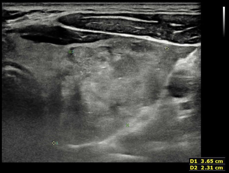
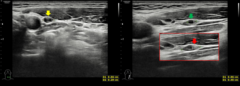
갑상선에 결절이 발견되면 옆 경부 림프절까지 잘 관찰해야 암 진단에도 도움이 되고 수술 범위를 정하는 데도 도움이 됩니다. 그런데 일반적으로 갑상선 암의 진단 환자도 옆 경부 림프절 검사를 게을리하는 일이 많습니다. 다른 병원에서 검사한 뒤 생큐 서울 이비인후과를 찾은 환자(712명)의 초음파 사진을 다시 검토한 결과 66%의 환자의 초음파 검사 사진에서 측 경부 검사가 빠지고 있었습니다.대학 병원 가운데 빅 5도 22%에서 탈락하며 빅 5를 제외한 대학 병원은 48%에서 탈락했어요.샌 환자들을 고마워서울 이비인후과에서 초음파 검사를 했는데, 약 6%의 환자에게서 측 경부 림프절 전이가 발견되었습니다.(해당 내용은 최근 대한 갑상샘 학회에서 발표했습니다.)관련의 증례를 하나 소개합니다.30세 남자 환자가 2년 전으로 건드리는 갑상선 결절에 대해서 상담하기 위해서, 생큐 서울 이비인후과- 내분비 내과 이·운정 원장 외래를 방문했습니다.2017-01-20대학 병원에서 초음파 검사와 총 생검을 실시했습니다만 옆 경부 림프절에 대해서는 전혀 검사를 벌이고 있지 않습니다. 당시 총 생검 결과는 양성 혹(benign follicular nodule이었습니다.*여기서 총 생검이 가는 바늘 흡입 세포 검사보다 항상 좋은 검사가 아님을 알 수 있습니다. (중략)2019-08-03시행한 고마워서울 이비인후과 초음파 사진은 다음과 같습니다.

좌갑상선결절

좌갑상선결절

[하정훈 진료일지 4] 갑상선암 측경 갑상선에 결절이 발견되면 측경부 림프절까지 잘 관찰해야 암 진단에도 도움이 되고 수술…cafe.naver.com

그 환자의 수술 리뷰는 아래에 있습니다. https://cafe.naver.com/thanqseoul/1335 감사합니다.

 

error: Content is protected !!